# What Spirituality Dose to Your Brain

What Spirituality Dose to Your Brain: The Power of Belief.

Spiritual & Health



Within the last decade, a new link between spirituality and neuroscience has emerged in scientific and spiritual fields. Recent data shows the immense effect of faith, belief, and dedication on the brain’s growth. This article will explore all the evidence and share some transformative techniques to demonstrate the importance of positive/meaningful thinking in shaping a healthy brain.

The Power of Neuroplasticity:

neuroplasticity and the brain netowrk
**The Brain Plasticity

Contrary to what most people assume, our brains can continuously rewrite themselves based on our activities and experiences outside the inner realm.

Neuroplasticity plays an essential role in linking spirituality with neuroscience. It is the brain’s capacity to adapt and change in response to new practices and environmental shifts. Spiritual activities s uch as meditation, prayer, and breathwork have been globally acknowledged to induce measurable changes in the brain.

Studies using neuroimaging techniques such as fMRI and EEG have found that regular meditation leads to changes in brain regions associated with attention, emotional regulation, and self-awareness. Those who regularly engage in meditation have been observed to have increased grey matter density in the prefrontal cortex and hippocampus, which are regions linked to cognitive control and memory.

The beauty all spiritual activities share is that they induce a sense of ascendence and awareness boost, both are critical in stimulating certain parts of the brain or help reduce activities in other areas. The DMN, which stands for default mode network, is a huge-scale brain network activated when we are not focused on external activities; It is mainly associated with inner observation, mind wandering and self-refining. Upon practising spiritual activities, modulation of the DMN occurs, leading to a sense of oneness and an optimised state of being.

Another area of the brain is called The Salience Network. It is mainly responsible for detecting and prioritising objects and information in the surrounding environmen. During Mindfulness, the brain experiences reduced activities in regions like the Medial thalamus and caudate, both associated with sensory and emotional processing, leading to a shift in attention towards what to prioritise externally and promoting a feeling of being something greater than oneself.

Emotional And Mental Wellbeing:

the spiritual mind and mental realm
**Mind and Soul

It's no stranger that the role of spirituality and religion is helping millions worldwide find peace and meaning in their lives, making it a solid source of solace and resilience, especially in challenging times.

We are blessed with consciousness and are evaluated as spiritual entities, to the beauty of observing the world via emotions and thoughts. However, this is no easy task. When the human psyche experiences intense pressure from external sources, it appears its true form of identity, and it is required to react. Belief plays a crucial role here; surrendering to our purest forms during challenging times is what makes us humans; it's also the situation where many people of all ages are known to make miracles. To change not only their lives but also those of others.

A true Fact is that people who engage in spiritual activities are known to react less to stress or anxiety, are more encouraging, and are naturally courageous. In addition to having a solid immunity against depression, they are more resilient when it comes to coping with traumatic events. All of this is achieved through surrendering and pure belief.

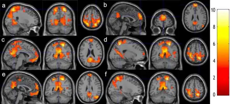
The Brain Before and After Meditation: Scientific Materials

The following are real brain scans performed by legit experts in their fields; more information about each experiment will be linked.

1. Binghamton University Study:

meditation effecton the brain
**Brain scan before and after meditation

Researchers conducted a study scanning some of their students' brains before and after eight weeks of practising meditation under a professional trainer. This study emphasises how just two months into meditation can show intriguing results.

These MRI scans revealed significant changes in some brain patterns, explaining the impact of meditation on cognition and overall neural activity. This research knew light thanks to a casual chat between Assistant Professor Weijying Dai and Lecturer Gorge Weinschenk. Both are experts in longtime meditation, brain mapping and biochemical image processing, more details can be found Within The official study Publication. Sources: Research shows just 8 weeks of meditation studies can make your brain quicker

2. Noobs vs Experts in Meditation: University of Wisconsin and its affiliates study

This study focused on learning about what makes long-term meditators vs novices. What makes the difference within their brains? And How it reflected in their lives.

Functional resonance imaging (fMRI) revealed distinct patterns in emotions-related brain networks, showing that long-term meditators dedicated to mindfulness and meditation experiences exhibited unique neural connectivity. Sources: Meditation affects brain networks differently in long-term meditators and novices -Impact of short- and long-term mindfulness meditation training on amygdala reactivity to emotional stimuli


Mindfulness meditation improves connections in the brain: Harvard medication school.

Researchers at Massachusetts General Hospital used MRI scans to observe changes in gray matter associated with mindfulness meditation. Gray matter refers to the parts of the brain that contain cell bodies and synapses, and it plays a crucial role in processing information and regulating emotions.

The findings of this study add to a growing body of research supporting the idea that meditation can induce neuroplasticity, the brain's ability to reorganise and form new connections in response to experience.

Researchers hope to better understand how mindfulness meditation exerts its effects and how it might be used as a therapeutic intervention for various mental health conditions. Mindfulness meditation improves connections in the brain





The Book Of Knowledge: Awaken to the Majesty of your Soul, Unlock Psychic Abilities, Awaken your Third Eye and Channel with the Higher Self



book of knowledge cover by x.virtuoso

Embark on a Transcendent Voyage with The Book of Knowledge.
Uncover the profound secrets of spiritual awakening and personal evolution within the pages of this extraordinary guide. From the intricate fabric of reality to the hidden dimensions of the human experience, this book equips you with an array of transformative tools. As the world seeks clarity amidst complexity, this book emerges as a guiding light, revealing the path to profound understanding and self-realization. Delve into the uncharted territories of consciousness, master the art of crafting reality, and embrace the journey to holistic well-being. The treasures of The Book of Knowledge await—prepare to unlock boundless wisdom and chart your course toward a life illuminated by profound truths.

X.Virtuoso is a self-published author who writes books on spiritual growth and personal development. With over a decade of experience in meditation and spiritual practice, Virtuoso brings a wealth of knowledge and insight to his readers. From his secluded mountain hut, writing with the intention of helping and illuminating others journey toward self-discovery and spiritual Enlightenment.



His pen name, Virtuoso, reflects his unique personality and approach to writing, which focuses on building healthy skills and upgrading knowledge and perspectives.

In addition to writing, X.Virtuoso is also dedicated to fostering a community of like-minded individuals who are committed to spiritual and psychological development. He invites readers to join 'The Higher Selves,' a community under his management where they can share their thoughts and perceptions and continue to grow and evolve together.

Here are three compelling reasons why you should immerse yourself in the pages of The Book of Knowledge. Firstly, this enlightening guide serves as a key to unlocking your hidden potential, providing not just theoretical insights, but practical exercises that empower you to tap into your psychic abilities and even manipulate reality to your advantage. Secondly, within its depths lie revealed healing techniques that offer a path to total personal well-being. From unraveling the enigma of the multidimensional human body to discovering potent methods of restoration, the book equips you with tools to enhance your life and cultivate a lasting sense of inner peace. Lastly, this book doesn't merely dwell in abstract concepts—it provides a tangible exploration of the universe's intricacies. Offering wisdom from The All, it guides you to broaden your consciousness, connect with your higher self, and perceive reality in its unfiltered essence. By delving into 'The Book of Knowledge,' you embark on a transformative journey that bridges understanding, empowerment, and profound self-discovery.
Written by : X.Virtuoso
Read Now

ABOUT!

Welcome to the Higher Selves blog, an informative resource to fill your mind with knwoledge and find guidance on the jouerny of life.

written by: -spiritual psychologists -meditation guiders -truth seekers -content writers


the kyblion book cover
The kybalion - three initiates

A study of the hermetic philosophy of ancient egypt and greece


×

Knowledge is allways worth the time. Thanks for your reading